i-CAT® (The Latest 3D Technology)

The Latest In 3D X-ray imaging!

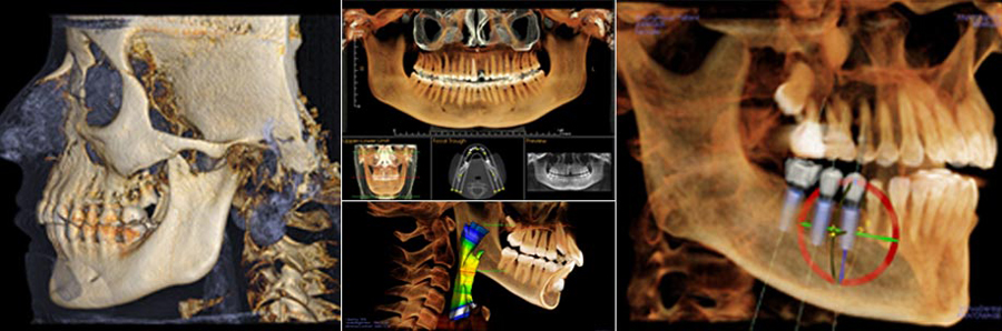
Future Smiles Orthodontics is proud to announce Guam’s first i-CAT CBCT imaging machine. This state-of-the-art technology and software are provided by i-CAT and Anatomage, the world leaders in 3D imaging for orthodontics. They have recently announced tech support for the western Pacific, and Dr. Paul is happy to announce that this will be incorporated into his services. Not only is this technology top of the line, it leads the pack on diagnosing and screening for potential tooth impactions, jaw irregularities, and sleep apnea. Patients love it because it looks like an awesome video game, but also because it more clearly diagnoses their problem areas and makes treatment even faster!

Dr. Paul has lectured to fellow dental professionals both in Guam and the U.S. mainland regarding this technology. He also maintains close friendships with some of the top orthodontists in the world regarding this technology, such as Dr. Sean Carlson and Dr. Pacho Eraso. Ask our team about how it can help you with your treatment goals and overall health.

In addition to assisting Dr. Paul in his orthodontic treatment, our i-CAT imaging can be utilized by our medical and chiropractic colleagues.

A low radiation alternative to normal CT scans, ENT specialists can use it for evaluating sinuses, tonsillar tissue, etc. and evaluate where issues can arise in allowing people to breathe more comfortably.

Sleep medicine doctors can take advantage of airway imaging and measurement and administer the appropriate treatment. When sleep apnea is addressed, a patient can get more oxygen during rest which translates to increased energy, mental alertness, and less stresses across other areas of the body. Young patients have reported improved performance in school and other activities when the orthodontist or sleep medicine doctor addresses this.

Chiropractors can visualize the cervical spine as well and assess neck alignment in all three dimensions. We are proud to serve all our local health care professionals interested in this technology and we’ll be happy to accommodate their patients for imaging services.